STb Light Lingual Sistem oferă rezultate superioare - un tratament eficient, simplificat şi mai rapid, precum si un mai mare confort pentru pacient - pentru toate tipurile de cazuri. O premieră în ortodonţia linguală, Light Lingual System utilizeaza un nou tip pasiv de auto-ligaturare proiectat pentru a reduce frictiunea dintre bracket si arc, ceea ce permite utilizarea unor forte de intensitate foarte redusa in tratament.

Comparatie intre vechiul bracket Kurz 7 si noul bracket STb Light Lingual System
Cu dimensiunile sale reduse si designul deosebit, cu margini rotunjite, noile bracketuri STb sunt concepute pentru a oferi confort maxim pacientului si o intretinere facila a igienei orale. Bracketul STb Light Lingual System are un impact minim asupra poziţiei limbii şi asupra vorbirii; studiile clinice au demonstrat că dificultatile in vorbire sunt neglijabile si dispar în termen de câteva zile de la montare aparatului.

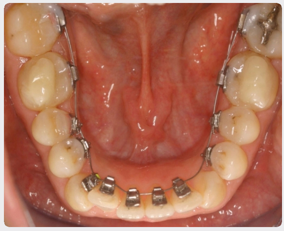
Aparat STb colat pe arcada inferioara
Este dedicat persoanelor care isi doresc un zambet perfect avand avantajul psihologic de a-si putea rezolva problemele ortodontice fara a fi jenati ca poarta aparat dentar.
Avantajele STb Light Lingual Sistem
• NU SE VEDE – Se pot rezolva problemele de estetica dentara si se poate obtine un zambet atragator fara ca imaginea pacientului sa fie afectata de purtarea unui aparat dentar vizibil
• Dificultăţile de pronunţie, inerente pentru plasarea linguală a bracket-urilor, dispar după câteva zile de la aplicarea aparatului datorită grosimii de numai 1,5 mm a bracket-urilor
• Lipirea pe dinţi a bracket-urilor uşurată de dimesiune lor redusă
• Frecare redusă la contactul arcului de sărmă cu suprafaţa bracket-urilor ceea ce uşurează deplasarea dinţilor şi scurtarea timpului de tratament
• Utilizarea unor forţe reduse prin folosirea arcului din NiTi (0,010/0,012mm) reduce presiunea suportată de dinţii şi disconfortul pacientului
• Dimensiunile reduse şi conturul rotunjit al bracket-urilor asigură un confort maxim şi o adaptare rapidă a pacientului la un aparat care este complet invizibil
• Evolutia tratamentului si schimbarile pozitive ce se petrec la nivelule dintilor sunt mai usor de vizualizat, zambetul nu mai este ascuns de bracket-uri si arcuri
• Dezlipirea bracketurilor are o frecventa mai redusa fata de aparatele dentare clasice
• Timp de purtare mai redus a unui aparat dentar – in funcite de gravitatea cazului – datorita faptului ca aparatul dentar lingual este realizat individual, pentru fiecare pacient
Igiena orala la purtatorii de aparate dentare ortodontice




