Incognito este un aparat orthodontic fix, colat pe fetele linguale ale dintilor , confectionat în urma analizei şi SCANĂRII COMPUTERIZATE a mulajului danturii, într-un laboratoar specializae din Germania, cu o tehnica de ultima generatie, din aliaj de aur (anti-alergic).

Aparat Incognito pe typodont
Este un aparat high-tech care poate corecta o malocluzie dentara la fel de bine ca un aparat vestibular clasic. Datorita colarii bracketilor pe fetele linguale ale dintilor, este complet invizibil pentru cei care va privesc. Nu prezinta nici un impediment estetic, majoritatea adultilor preferand acest tip de tratament ortodontic datorita impactului social pe care ar putea sa-l aiba aparatelor vestibulare clasice

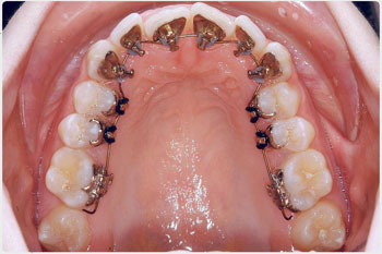
Aparat Incognito colat pe arcada superioara
Bracket-urile confectionate individual sunt extraplate si confortabile, au un design remarcabil si foarte precis, rezultand o acomodare rapida. Acest tip de aparat poate fi indicat adolescentilor si adultilor la orice varsta.
Un zambet atragator este o parte importanta a impresiei pe care o faceti celor din jur, iar Incognito va poate ajuta sa aveti acel zambet.
Igiena orala la purtatorii de aparate dentare ortodontice




